
当院では開業にあたり、富士フイルム社製の胸部X線画像病変検出ソフトウェア「CXR-AID」を導入いたしました。
近年、医療現場では見逃しや診断の遅れを防ぐため、AI(人工知能)技術の活用が急速に進んでいます。
CXR-AIDは、数万枚以上の胸部X線画像を学習したAIが、わずか数秒で画像を解析し、病変(病気による異常な部分)の可能性がある箇所を検出してくれるシステムです。
CXR-AIDは、ディープラーニング(深層学習:AIが大量のデータから自動的に特徴やパターンを学習する技術)を用いた医療機器プログラムです。
胸部X線画像を撮影すると、AIが自動的に画像を分析し、病変を検出します。
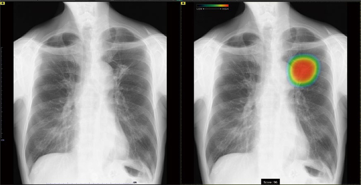
AIは検出した病変部位を「ヒートマップ」という色付きの地図のように表示します。
赤や黄色で示された部分は「AIが注目している箇所」であり、医師がより詳しく確認すべきポイントを視覚的に示します。

胸部X線検査は、放射線被曝量も少ない優れた検査ですが、一枚の平面的な画像から立体的な胸部の状態を読み取る必要があり、小さな病変や骨や心臓に隠れた病変は見つけにくいという課題があります。
実際これまでの医療現場では、初期の肺がんや小さな病変の発見が難しいことが指摘されてきました。
CXR-AIDは、こうした課題を解決するために開発されました。医師の診断を「置き換える」のではなく、医師の判断を「サポートする」役割を果たします。
胸部X線画像では、AIが肺野(肺の領域)に丸い影を検出し、ヒートマップで示しています。早期発見により、適切な治療方針を早く立てることが可能になります。
当院では、CXR-AIDによるAI + 医師の二重チェック体制により、見逃しのリスクを最小限に抑え、より安全で確実な診断を実現しています。
最新のテクノロジーを取り入れながら、患者様とのコミュニケーションを大切にし、安全かつ安心できる医療が提供できるよう努めてまいります。
わからない点や気になることがございましたら、いつでもお気軽にお声がけください。
補足情報
●CXR-AIDは薬事承認を取得した医療機器プログラムです。
●診断の最終判断は必ず医師が行います。
●検査費用は通常の胸部X線検査と同額です(保険適用)